Чревната непроходимост („преплитане на червата”) е тежко коремно заболяване, което изисква спешно или срочно оперативно лечение. По-често заболяването се среща при възрастни болни с тежки съпътстващи заболявания, което е допълнителен проблем.
При деца се наблюдава мекониум илеуса и инвагинацията. Първото е болест на новороденото страдащо от муковисцидоза, а второто – инвагинацията представлява навлизане на един чревен сегмент заедно с мезентериума му в просвета на дистален чревен участък
Причините, които довеждат до чревна непроходимост са твърде разнообразни: заклещване на хернии, туморни заболявания на червата или съседни органи, сраствания в корема след предишни операции, завъртане на чревна бримка около хранещите я кръвоносни съдове и други по-редки причини. Това наричаме механична чревна непроходимост.
Другият основен вид е паралитичната чревна непроходимост дължаща се на извън чревни причини и която е самолимитиращо се състояние. Обикновено съпътстват перитонит, мезентериална тромбоза, панкреатит, рефлекторно при колика (бъбречни и жлъчни камъни), коремна травма, счупване на гръбначния стълб и наранявания на гръбначния мозък, задръжка на урина.

При илеус винаги трябва да се мисли за задръжка на урината! Понякога настъпва „оздравяване“ след поставяне на катетър!
Според мястото на чревната непроходимост – в тънкото или дебелото черво има известни разлики в началото и протичането на заболяването.

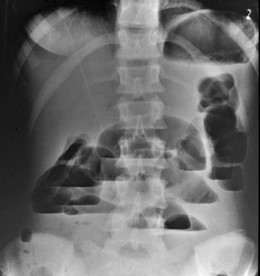
Тънкочревен илеус
Началото на тънкочревната чревна непроходимост обикновено е бурно, със силни коремни болки, локализирани около пъпа. Болките са коликообразни, с периоди на засилване и отслабване, придружени с упорито повръщане отначало на стомашно, а след това на чревно съдържимо (мiserere). Умереният метеоризъм (подуване на корема) е постоянен симптом на заболяването.

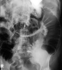
Дебелочревен илеус
Началото на заболяването при дебелочревна непроходимост, особено при туморни заболявания е постепенно, с напредващо подуване на корема, понякога до големи размери, спира отделянето на газове и изпражнения, слаби до умерени болки в епи- или хипогастриума, по-късно започва повръщане на чревно съдържимо. При заклещване на херния или усукване на чревна бримка заболяването протича по-бурно.
Характерен, насочващ симптом при рак, локализиран в дясната половина на дебелото черво е анемията. Не е за пренебрегване и органомегалията, установена при физикалното изследване, като насочваща (могат да се опипат различни тумори или да се установи прераздуто дебело черво). Наличието на белези от предходни операции също е насочващо за наличие на вътрекоремни сраствания и съответно причинен от това илеус.
При всички оплаквания от подобен род болния трябва незабавно да потърси лекарска помощ. Опитите за самолечение забавят понякога фатално диагнозата и лечението на болестта. Сериозен проблем е объркването на чревната непроходимост със запека. Даването на очистително лекарство в такива случаи може да доведе до разкъсване на черво и развитие на перитонит.
Всички болни, при които има съмнение за чревна непроходимост трябва да бъдат консултирани с хирург. Уточняването на диагнозата става след подробен преглед на болния и задължително рентгеново изследване на корема.

При несигурна диагноза пациента се настанява в хирургично отделение и след динамично наблюдение и допълнителни изследвания се решава вида на лечението.

Уточнената диагноза ,, чревна необходимост’’ изисква неотложно хирургично лечение, което при съмнение за нарушено кръвоснабдяване на чревна бримка трябва да бъде незабавно. В другите случаи операцията може да се отложи за известно време, което време се използва за предоперативна подготовка при болни с тежки съпътстващи заболявания.
Оперативните намеси при чревна непроходимост са различни в зависимост от причината за заболяването, но почти винаги тежки и продължителни. Често се налага изрязване на част от червото, а понякога временно или постоянно извеждане на чревна бримка на предната коремна стена, т. н. противоестествен анус. Тази инвалидизираща хирургична операция се прави, когато не е възможно да се възстанови нормалната чревна проходимост.

Операция при “брид илеус”, прерязване на срастването и освобождаване на червото
В заключение, чревната непроходимост е част от групата спешни коремни заболявания, които изискват от болния незабавно консултиране с лекар, без опити за самолечение.

Чревната непроходимост („преплитане на червата”) е тежко коремно заболяване, което изисква спешно или срочно оперативно лечение. По-често заболяването се среща при възрастни болни с тежки съпътстващи заболявания, което е допълнителен проблем.